IBT specializes in delivering top-notch reagents tailored for research and development purposes.
Mature, recombinant, His-tagged Zaire Ebolavirus Glycoprotein minus the transmembrane domain is supplied as purified protein. Produced in Sf9 cells and is purified by FPLC.
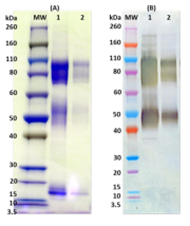
Staphylococcus aureus alpha hemolysin (Hla) is expressed in E. coli as a recombinant protein, tag free
Recombinant Vesicular Stomatitis Virus pseudotyped Sudan glycoprotein
IBT has a plethora of reagents, assays or services based on disease targets.
During The Covid-19 Pandemic, Ibt Proved To Be An Amazing Partner For Us At Twist Bioscience. They Played A Crucial Role In Our Product Development Journey By Helping Us Produce Pseudoviruses For Different Sars-Cov-2 Variants. Not Only That, They Also Assisted Us In Screening Over 100 Vhh Antibodies And Establishing Pseudovirus Neutralization Assays With Meticulous Validation. What Really Stands Out About Ibt Is Their Collaborative Approach To Working With Their Partners. They Worked Closely With Us To Achieve Our Short Timelines, Which Was Critical For Our Success. Together, We Have Successfully Compiled High-Quality Data For Two Manuscripts, And We Couldn’t Have Done It Without Their Expertise And Dedication. Ibt’s Proactive Stance And Attention To Detail Have Been Instrumental In Our Achievements, And We Are Extremely Grateful For Their Support. We Are Excited About What The Future Holds And Look Forward To Continuing Our Fruitful Partnership With Ibt.
Working with IBT Bioservices on our pre-clinical research projects has been a very good experience. They offer solid services that cover all the bases. From beginning to end, their team was committed, knowledgeable, and professional. IBT is a reliable partner, always kept us in the loop, provided regular updates, and paid attention to the small details. We recommend IBT to anyone seeking unparalleled CRO support.
Sabin Has Established A Robust Partnership With Ibt Bioservices, Relying On Their Expertise For The Development Of Complex Reagents And Assays. As Our Collaboratio Evolved, They Seamlessly Transitioned To Supporting Our Clinical Testing Needs For Two Vaccine Trials Using Their Cell-Based Assays. Their Comprehensive Services, Including Sample Storage And Program Management, Streamline Our Processes And Enhance Efficiency. We Value Their One-Stop-Shop Approach And Nimble Problem-Solving Abilities Which Promote An Exceptionally Productive Working Relationship.